Vừa qua, Bệnh viện Hoàn Mỹ Sài Gòn tiếp nhận và điều trị thành công cho một người bệnh hóc xương cá đâm xuyên hang vị dạ dày. Người bệnh N.V.C. (63 tuổi, cư ngụ Tiền Giang) nhập viện trong tình trạng đau bụng âm ỉ vùng thượng vị và hạ sườn phải trong nhiều ngày.

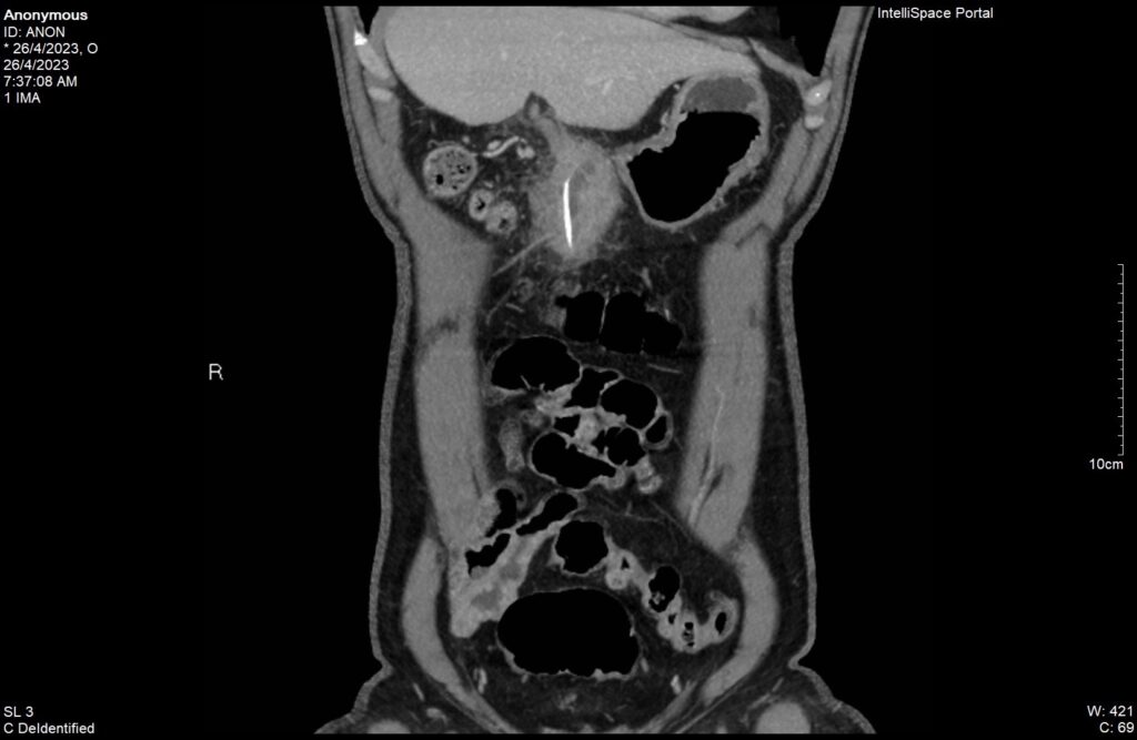
Dù đã tự uống thuốc giảm đau nhưng không thuyên giảm, cơn đau càng ngày càng tăng nên nhập viện cấp cứu. ThS. BS Phạm Hoàng Thiên- Trưởng Khoa Cấp cứu, BV Hoàn Mỹ Sài Gòn người trực tiếp tiếp nhận bệnh cho biết “Qua thăm khám ban đầu tại khoa Cấp cứu, nghi ngờ có khối áp xe ổ bụng trên người bệnh có các bệnh mạn tính nặng như tăng huyết áp, bệnh tim thiếu máu cục bộ, đái tháo đường, suy thượng thận và viêm dạ dày, chúng tôi tiến hành cho người bệnh chụp CT bụng và vùng chậu bằng thuốc cản quang. Kết quả cho thấy người bệnh bị áp xe ổ bụng vùng trước hang môn vị dạ dày do có dị vật dạng que thẳng dài 40mm, đường kính ngang 2mm nghi đâm xuyên thành dạ dày ra ngoài”

Hội chẩn cấp cứu với bác sĩ Tiêu hóa và các bác sĩ gây mê, cân nhắc và tiên lượng các biến chứng phát sinh do độ tuổi và bệnh nền, các bác sĩ quyết định phẫu thuật nội soi phá bỏ khối áp xe, hút mủ, gắp bỏ dị vật xương cá. Sau 90 phút, các bác sĩ đã tiếp cận và bộc lộ được ổ áp xe, thành công gắp ra xương cá, ổ bụng được rửa sạch, đặt dẫn lưu ổ áp xe ra trocar vùng bụng trái.

Phim CT ghi nhận dị vật trong đường tiêu hóa

BS. Thiên cũng cho biết, phần lớn các trường hợp nuốt phải dị vật thường xảy ra ở trẻ em và người lớn tuổi. Đây là các trường hợp CẤP CỨU vì có ​thể​ dẫn đến tắc ​nghẽn​ đường tiêu hóa hoặc đường thở​; tùy vào từng loại dị vật, thời gian sau nuốt phải ​​dị​ vật, cũng như vị trí và mức độ tổn thương sẽ dẫn đến các triệu chứng và mức độ nghiêm trọng khác nhau, chưa kể thể trạng của người bệnh.

Để hạn chế tình trạng hóc dị vật, chúng ta nên ăn những thức ăn chín, mềm, dễ tiêu, nhai thật kỹ. Khi bị hóc dị vật, NÊN đi khám ngay, để được điều trị kịp thời, đúng bệnh và hồi phục nhanh chóng, tránh để tình trạng bệnh trở nên nặng nề, gây nhiều biến chứng. Những trường hợp có biến chứng, thường sẽ cần những thủ thuật điều trị xâm lấn phức tạp, thời gian điều trị và hồi phục kéo dài, đôi khi để lại những hậu quả lâu dài ảnh hưởng đến chất lượng cuộc sống sau này của người bệnh. Đặc biệt, KHÔNG NÊN tự ý mua thuốc giảm đau mà không có chỉ định của bác sĩ, vì rất nhiều loại thuốc giảm đau sẽ ảnh hướng đến các cơ quan khác như dạ dày, gan, thận, tim mạch… cũng như sẽ làm che lấp các triệu chứng bệnh, gây khó khăn cho công tác chẩn đoán và điều trị.

Hình ảnh minh họa phẫu thuật Nội soi

​​ThS.BS. Phạm Hoàng Thiên​ – Trưởng khoa Cấp cứu - BV Hoàn Mỹ Sài Gòn