Một khối u nang sau phúc mạc kích thước lớn khoảng 150 x 180 mm, chiếm gần nửa khoang bụng và gây chèn ép các cơ quan nội tạng, đã được các bác sĩ Khoa Ngoại Tiết niệu – Nam khoa, Bệnh viện Hoàn Mỹ Đà Nẵng phẫu thuật nội soi cắt bỏ thành công. Đây là một trường hợp u nang lành tính rất lớn và khá hiếm gặp. Nhờ can thiệp kịp thời, người bệnh đã được loại bỏ nguy cơ biến chứng và cải thiện rõ rệt tình trạng sức khỏe.

Chủ quan không tái khám định kỳ vì nghĩ “U lành tính”

Trường hợp người bệnh là ông D.K.B. (59 tuổi, trú tỉnh Quảng Nam) đến thăm khám tại khoa Ngoại Tiết Niệu – Nam khoa, Bệnh viện Hoàn Mỹ Đà Nẵng trong tình trạng bụng trái có khối u to, căng tức, mệt mỏi, khó thở, ăn uống kém.

Ông B. cho biết, cách đây 2 năm sau thăm khám sức khỏe định kỳ, được bác sĩ thông báo có khối u nang lành tính, chưa có chỉ định phẫu thuật nên chủ quan không tái khám định kỳ. Thời gian gần đây ông B cảm thấy người mệt mỏi, ăn uống kém, đau nhiều vùng thượng vị nên đi khám ở cơ sở y tế địa phương. Qua kết quả thăm khám, chụp CT chẩn đoán, bác sĩ nhận định có một khối u nang lớn, lành tính sau phúc mạc, cần phẫu thuật sớm.

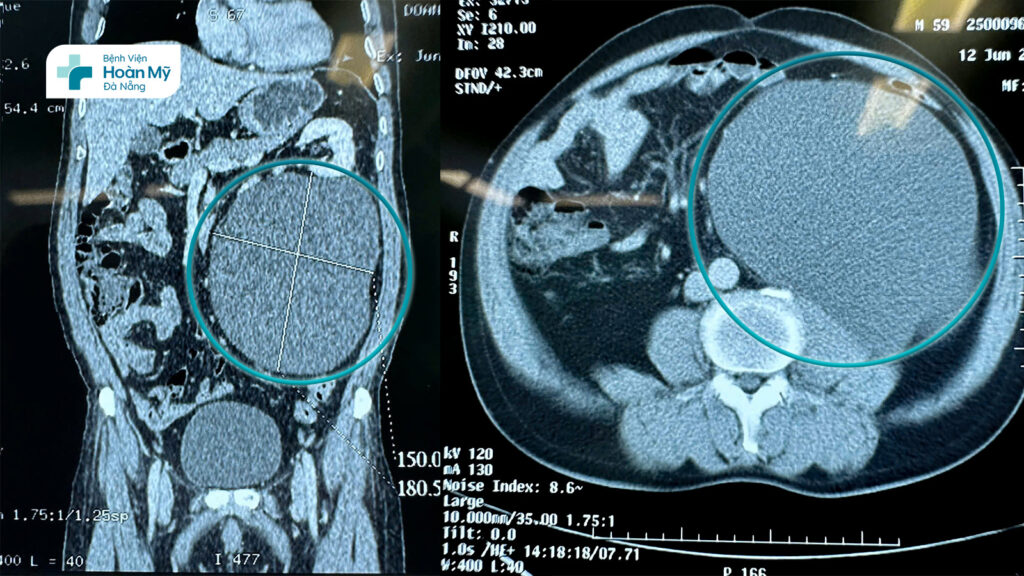
(hình 1) Hình ảnh chụp CT cho thấy khối u nang lớn chèn ép nội tạng

Xác định phải phẫu thuật, người bệnh tìm đến Bệnh viện Hoàn Mỹ Đà Nẵng. Tại đây người bệnh được thăm khám lâm sàng và cận lâm sàng để đánh giá lại thêm 1 lần nữa. Mặc dù đây là khối u có kích thước lớn nhưng các xét nghiệm máu và chẩn đoán hình ảnh hướng tới một khối u nang sau phúc mạc lành tính (hình ảnh CT Scan cho thấy một khối dạng nang 150 x 180 mm, ranh giới rõ, đè đẩy các tổ chức xung quanh, dịch đồng nhất và không ngấm thuốc cản quang), thể trạng người bệnh tốt, vì vậy các bác sĩ chỉ định phương pháp phẫu thuật nội soi sau phúc mạc bóc toàn bộ khối u làm giải phẫu bệnh lý.

Phẫu thuật nội soi bóc u nang hiếm gặp gần 20cm, bảo tồn tối đa cấu trúc nội tạng

BS.CKI. Bùi Quốc Triệu – Trưởng khoa Ngoại Tiết niệu – Nam khoa, Bệnh viện Hoàn Mỹ Đà Nẵng chia sẻ: "Đây là khối u nang sau phúc mạc trái, kích thước lớn 150 x 180 mm và khá hiếm gặp. Khối u choán gần như hết nửa trái khoang bụng, chứa dịch đã chèn ép tạng ổ bụng, đẩy thận trái lên cao. Trong quá trình bóc tách nhận thấy đây là một khối u nang chứa dịch trắng đục hướng đến u nang bạch huyết dưỡng chấp, bác sĩ phải rất cẩn thận để loại bỏ hoàn toàn khối u để tránh tái phát và ngăn ngừa biến chứng xì dò hạch bạch huyết sau phẫu thuật. Nếu phẫu thuật cắt hoàn toàn nang mà không tổn thương các cơ quan lân cận, nguy cơ tái phát rất thấp."

Ekip mất hơn 1 giờ 30 phút tiến hành phẫu thuật nội soi sau phúc mạc bóc khối u nang với 3 lỗ trocar. Quá trình bóc tách khá thuận lợi như dự kiến, nhưng do kích thước quá lớn nên các bác sĩ đã tiến hành chọc hút chủ động sau đó bóc trọn vẹn màng u mà không ảnh hưởng đến các cơ quan lân cận. Về đại thể hút ra 2,7 lít dịch dạng sữa đục, xét nghiệm dịch vô trùng, chứa nhiều tế bào lympho, màng u cũng được gửi làm giải phẫu bệnh lý và cho về kết quả lành tính.

(hình 2) Hình ảnh khối u nang sau phúc mạc trong phẫu thuật

(hình 3) 2,7 lít dịch dạng sữa đục được hút ra từ u nang bạch huyết của người bệnh

Nhờ vết mổ nhỏ, ít xâm lấn từ 1 - 2 cm, sau phẫu thuật nội soi, người bệnh ít đau, ăn uống, vận động bình thường và có thể xuất hiện sau 4 ngày điều trị.

Theo các bác sĩ, u nang bạch huyết (Lymphangioma) là một loại u mạch bạch huyết lành tính, hình thành do sự giãn bất thường của các mạch bạch huyết, tạo nên các khoang chứa dịch. Đây là một dạng dị tật phát triển bẩm sinh của hệ bạch huyết, chứ không phải là một u tân sinh thực thụ. U nang bạch huyết sau phúc mạc là khối u dạng nang khu trú trong khoang sau phúc mạc, phát triển từ các mạch bạch huyết nằm sâu trong ổ bụng, không liên quan đến phúc mạc. Vị trí này rất hiếm gặp, chiếm chưa đến 1% tổng số u nang bạch huyết, và thường được phát hiện tình cờ khi chẩn đoán hình ảnh vì khối u không có triệu chứng đặc hiệu.

Bác sĩ Triệu khuyến cáo, đối với các trường hợp u nang lành tính, người bệnh cần thăm khám định kỳ 6 tháng/lần qua siêu âm để tránh nguy cơ u tiến triển nhanh, chèn ép tạng, ổ bụng, biến chứng xì dò hạch bạch huyết, nhiễm trùng.

Khối u nang phát triển tại vùng bụng có thể gây ra các biểu hiện như: đau âm ỉ vùng bụng dưới, hông lưng hoặc vùng chậu; cảm giác đầy bụng, tức bụng hoặc buồn nôn, rối loạn tiêu hóa nhẹ nếu u chèn ép ruột, thận ứ nước nếu có chèn ép niệu quản,… Người bệnh khi có các triệu chứng trên cần đi khám để bác sĩ xác định chính xác tình trạng bệnh, tránh bỏ sót bệnh lý. Thông thường, các bác sĩ sẽ đề nghị thực hiện siêu âm ổ bụng tổng quát là có thể tầm soát hầu hết các trường hợp, khi nghi ngờ người bệnh sẽ được chỉ định thêm CT Scan hoặc MRI nhằm chẩn đoán xác định bệnh lý và tư vấn hướng điều trị cụ thể.

Bệnh viện Hoàn Mỹ Đà Nẵng hiện đang triển khai thường phẫu thuật nội soi thường quy, điều trị hiệu quả các bệnh lý: u sau phúc mạc, u thận, u tuyến thượng thận, sỏi tiết niệu, bệnh lý khúc nối bể thận – niệu quản,…với đội ngũ bác sĩ giàu kinh nghiệm và dàn máy nội soi hiện đại giúp người bệnh phục hồi nhanh chóng, an toàn, vết mổ thẩm mỹ.