Phẫu thuật đóng đinh nội tủy Gamma thành công cho người bệnh ngoại quốc gãy liên mấu chuyển xương đùi trái phức tạp
Nội dung bài viết
Bệnh viện Hoàn Mỹ Đà Nẵng vừa tiến hành phẫu thuật kết hợp xương thành công cho người bệnh ngoại quốc bị gãy liên mấu chuyển xương đùi trái bằng đinh Gamma dưới màn hình tăng sáng (C-Arm). Đây là phương pháp phẫu thuật kết hợp xương hiện đại, can thiệp tối thiểu, hạn chế […]
Bệnh viện Hoàn Mỹ Đà Nẵng vừa tiến hành phẫu thuật kết hợp xương thành công cho người bệnh ngoại quốc bị gãy liên mấu chuyển xương đùi trái bằng đinh Gamma dưới màn hình tăng sáng (C-Arm). Đây là phương pháp phẫu thuật kết hợp xương hiện đại, can thiệp tối thiểu, hạn chế tổn thương phần mềm, nhanh liền xương, phục hồi vận động sớm.

Kịp thời điều trị cho người bệnh ngoại quốc gãy liên mấu chuyển xương đùi do ngã xe
Người bệnh ngoại quốc H.A (60 tuổi) đến Bệnh viện Hoàn Mỹ Đà Nẵng do sưng đau nhiều khớp háng bên trái. Khai thác tiền sử, được biết cách thời điểm thăm khám 1 ngày, người bệnh bị ngã xe. Sau tai nạn, người bệnh bắt đầu đau và hạn chế vận động háng trái. Tại bệnh viện Hoàn Mỹ Đà Nẵng, người bệnh được chụp X-Quang, CT scan chẩn đoán và xác định bị gãy liên mấu chuyển xương đùi trái.

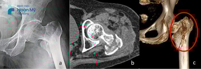
Hình ảnh gãy liên mấu chuyển xương đùi trái phức tạp trước phẫu thuật của người bệnh
Sau khi trao đổi với người bệnh và gia đình, các bác sĩ quyết định lựa chọn phương pháp phẫu thuật đóng đinh nội tủy Gamma dưới màn tăng sáng (C-Arm) để chữa lành xương cho người bệnh.

Tiến hành phẫu thuật đóng đinh nội tủy gamma
Đây là phương pháp phẫu thuật kết hợp xương hiện đại, can thiệp tối thiểu và đem lại nhiều lợi ích cho người bệnh.
“Với phương pháp này, bác sĩ tiến hành phẫu thuật kết hợp xương bằng cách luồn đinh vào trong ống tủy thông qua vết rạch nhỏ từ 2-4 cm trên da mà không cần phải mở ổ gãy, từ đó hạn chế nguy cơ chảy máu, nhiễm trùng, rút ngắn thời gian lành thương mà vị trí xương gãy vẫn được nắn chỉnh thẳng, vững chắc, sớm phục hồi vận động. Một điều tuyệt vời nữa là người bệnh có thể tập đi lại sớm ngay thời điểm 1 ngày sau mổ” – Ths. Bs. Phạm Duy Hải, Khoa Ngoại Chấn thương chỉnh hình – Thần kinh, Bệnh viện Hoàn Mỹ Đà Nẵng cho biết.

Hình ảnh kết hợp xương bằng đóng đinh nội tủy sau phẫu thuật cho người bệnh

Ca phẫu thuật được thực hiện thành công sau 40 phút tiến hành với vết mổ nhỏ 2-3 cm, người bệnh ít mất máu.

Ở ngày thứ 1 sau phẫu thuật, người bệnh đã bắt đầu với các bài tập phục hồi chức năng, tập đi lại. Đến ngày thứ 3, người bệnh đã có thể tự đi lại với khung tập đi, không cần người hỗ trợ. Ngày thứ 5, người bệnh được cho xuất viện.
Phẫu thuật kết hợp xương đóng đinh nội tủy Gamma tại Bệnh viện Hoàn Mỹ Đà Nẵng
Gãy liên mấu chuyển xương đùi khá phổ biến, có thể gặp ở mọi lứa tuổi, đặc biệt là ở người cao tuổi (trên 60 tuổi). Hiện nay, có nhiều phương pháp điều trị như: Nắn chỉnh bó bột, khung cố định ngoài, nẹp vít, đinh nội tủy, thay khớp háng, tùy vào tình trạng người bệnh và mức độ phức tạp của ổ gãy mà bác sĩ sẽ chỉ định phương pháp điều trị phù hợp. Ở những bệnh nhân có kiểu gãy phù hợp với nhiều phương pháp khác nhau thì đóng đinh nội tủy vẫn là phẫu thuật xấm lấn tối thiểu và an toàn nhất. Tại Bệnh viện Hoàn Mỹ Đà Nẵng, điều trị gãy xương bằng phẫu thuật đóng đinh nội tủy Gamma là phương pháp an toàn, hiệu quả đã được triển khai và mang lại kết quả điều trị tích cực cho người bệnh.

Gãy liên mấu chuyển xương đùi gây đau đớn, mất vận động chân, nguy cơ tử vong tăng nhanh nếu không kịp thời phẫu thuật. So với mổ mở trước đây, phẫu thuật kết hợp xương đóng đinh nội tủy Gamma kín dưới màn tăng sáng C-arm giúp hạn chế xâm lấn, nhanh chóng hồi phục vận động cho người bệnh.
Chỉ định phẫu thuật đóng đinh nội tủy Gamma được áp dụng khá rộng rãi: gãy nhiều vị trí, gãy xương từ mức độ đơn giản hay phức tạp, gãy nhiều tầng,... giúp bệnh nhân gãy xương, nhất là người bệnh bị tai nạn giao thông sớm phục hồi chức năng, hòa nhập cộng đồng.
Phẫu thuật kết hợp xương đóng đinh nội tủy Gama điều trị gãy xương với các ưu điểm:
- Không mở ổ gãy, vết mổ nhỏ, thẩm mỹ
- Kết hợp xương vững chắc, thúc đẩy xương liền tự nhiên
- Thời gian phục hồi nhanh, rút ngắn thời gian nằm viện
- Ít mất máu, giảm biến chứng (nhiễm trùng, loét do tì đè)
- Hạn chế tổn thương phần mềm
- Người bệnh có thể vận động sớm sau mổ
Liên hệ Hotline: 0236 3509 808 (giờ hành chính) để được tư vấn và đặt lịch hẹn thăm khám.
Chia sẻ