Siêu âm đàn hồi mô 2D-SWE trong chẩn đoán độ xơ hoá gan ở người bệnh viêm gan mạn tính
Nội dung bài viết
Siêu âm đàn hồi mô gan là kỹ thuật chẩn đoán hình ảnh không xâm lấn hiện đại bậc nhất hiện nay. Phương pháp này được các bác sĩ sử dụng để chẩn đoán mức độ xơ hóa gan của người bệnh viêm gan mãn tính. Với các ưu điểm nổi bật như: độ chính […]
Siêu âm đàn hồi mô gan là kỹ thuật chẩn đoán hình ảnh không xâm lấn hiện đại bậc nhất hiện nay. Phương pháp này được các bác sĩ sử dụng để chẩn đoán mức độ xơ hóa gan của người bệnh viêm gan mãn tính. Với các ưu điểm nổi bật như: độ chính xác cao, không xâm lấn, không đau, cho kết quả nhanh chóng – siêu âm đàn hồi mô gan được xem là bước ngoặc lớn trong chẩn đoán hình ảnh. Bệnh viện Hoàn Mỹ Đà Nẵng đã triển khai kỹ thuật này trên hệ thống máy LOGIQ Fortis hiện đại, tích hợp nhiều công nghệ, tính năng tiên tiến cho chất lượng hình ảnh ổn định, sắc nét và mang lại nhiều kết quả điều trị tích cực cho người bệnh.

Siêu âm đàn hồi mô 2d-swe trong chẩn đoán độ xơ hóa gan ở người bệnh viêm gan mạn tính
Viêm gan mạn tính
Viêm gan mạn tính là viêm gan kéo dài hơn 6 tháng. Các nguyên nhân thường gặp bao gồm vi-rút viêm gan B và C, viêm gan nhiễm mỡ không do rượu (NASH), bệnh gan do rượu và bệnh gan tự miễn (viêm gan tự miễn). Trong đó, nhiễm virus viêm gan B là một vấn đề sức khỏe toàn cầu. Nguy cơ tiến triển đến xơ gan và ung thư gan ở người nhiễm HBV mạn tính rất cao, có thể gấp 15-100 lần so với người không bị nhiễm. Việt Nam là nước nằm trong vùng lưu hành HBV cao với tỷ lệ người mang HBsAg từ 8-30%. Nếu không điều trị, diễn tiến tự nhiên của viêm gan mạn sẽ dẫn đến xơ hóa gan từ nhẹ đến nặng, rồi xơ gan và ung thư gan. Điều trị viêm gan mạn kịp thời giúp giảm nguy cơ biến chứng xơ gan, suy gan và HCC.
Các mức độ xơ hóa gan ở người bệnh
Theo phân loại giải phẫu bệnh Metavir, mức độ xơ hóa gan được chia làm các giai đoạn từ F0 đến F4, trong đó:
- F0: Bình thường
- F1: Xơ hóa nhẹ
- F2: Xơ hóa trung bình
- F3: Xơ hóa nặng
- F4: Xơ gan

Các giai đoạn xơ hóa gan theo phân loại giải phẫu bệnh Metavir
Xác định mức độ xơ hóa gan là một trong những tiêu chí quan trọng trong việc quyết định điều trị, theo dõi diễn biến, và tiên lượng cho các bệnh nhân mắc các bệnh viêm gan mạn tính. Từ đó có thể lập kế hoạch theo dõi, phát hiện sớm ung thư gan nhằm điều trị hiệu quả.
Siêu âm đàn hồi mô gan là gì?
Siêu âm đàn hồi mô gan là một kỹ thuật siêu âm hiện đại, khảo sát độ cứng của mô gan thông qua đo vận tốc sóng biến dạng ngang khi phát một xung lực âm vào mô gan. Mô gan càng cứng, vận tốc sóng ngang càng cao. Từ vận tốc sóng ngang đo được, bằng các thuật toán, máy sẽ xử lý và cho ra độ cứng gan, từ đó cho phép chẩn đoán chính xác mức độ xơ hóa gan.
Ai cần thực hiện siêu âm đàn hồi mô gan?
Siêu âm đàn hồi mô gan được chỉ định ở hầu hết các bệnh nhân mắc bệnh gan mạn tính như:
- Viêm gan mạn do virus
- Bệnh gan nhiễm mỡ
- Xơ gan
- Bệnh viêm gan do rượu, do thuốc
- Các bệnh viêm gan khác.
Ưu điểm của siêu âm đàn hồi mô gan trong chẩn đoán mức độ xơ hóa gan
Tiêu chuẩn vàng để xác định mức độ xơ hóa gan là sinh thiết gan. Tuy nhiên, nhược điểm của sinh thiết gan là một thủ thuật xâm lấn, gây đau, có thể gây một số biến chứng như chảy máu, khó lặp lại nhiều lần.
Siêu âm đàn hồi mô là một phương pháp không xâm lấn, có độ chính xác cao, có thể lặp lại nhiều lần, khắc phục được các nhược điểm của sinh thiết gan. Từ năm 2013 siêu âm đàn hồi mô đã được cơ quan quản lý thực phẩm và thuốc Hoa Kỳ (FDA) thông qua như là một phương pháp thay thế sinh thiết gan.

Ưu điểm của siêu âm đàn hồi mô gan trong chẩn đoán mức độ xơ hóa gan
Các phương pháp siêu âm đàn hồi mô đánh giá mức độ xơ hóa gan hiện nay
Cho đến hiện nay, có 3 phương pháp siêu âm đàn hồi mô được sử dụng để đo mức độ xơ hóa gan gồm:
- Siêu âm đàn hồi thoáng qua (Transient Elastography)
Còn gọi là Fibroscan, đây là kỹ thuật được sử dụng rất sớm, từ năm 2003 với độ tin cậy cao, không xâm lấn. Tuy nhiên, nhược điểm của Fibroscan là không tạo hình B-mode, nên không đánh giá được cấu trúc của gan, không phát hiện được các tổn thương nốt hay u gan. Ngoài ra giá trị đo được cũng không chính xác trong một số trường hợp như béo phì hay báng bụng
- Siêu âm đàn hồi sóng biến dạng đơn điểm (Point- Shear Wave Elastography)
Là kỹ thuật mới hơn, dựa trên kỹ thuật ghi hình xung lực xạ âm (Acoustic Radiation Force Impulse: ARFI), không xâm lấn, độ tin cậy cao tương đương với Fibroscan. Ưu điểm là được tích hợp trên máy siêu âm thường quy cùng với B-mode và Doppler-mode. Nhờ đó bác sĩ có thể quan sát được cấu trúc của gan, phát hiện được các tổn thương gan, đánh giá tình trạng mạch máu của gan. Chọn vị trí thuận lợi để đo, khắc phục được một số hạn chế ở bệnh nhân béo phì hay báng bụng. Tuy nhiên, hạn chế của kỹ thuật là phương pháp đo. Mỗi lần đo chỉ định lượng được độ cứng ở một điểm của nhu mô gan
- Siêu âm đàn hồi sóng biến dạng đa điểm (2D- Shear Wave Elastography)
Là một kỹ thuật mới nhất hiện nay, cũng dựa trên kỹ thuật ARFI, cho độ tin cậy cao, không xâm lấn. Ngoài những ưu điểm như kỹ thuật Point- Shear Wave Elastography, kỹ thuật 2D- Shear Wave Elastography lấy thông số của một vùng trong một lần đo. Nhờ đó, mức độ chính xác cao hơn, số lần lấy mẫu giảm xuống (5 lần so với 10 lần của P-SWE). Với những thế hệ máy siêu âm cao cấp mới nhất hiện nay, kỹ thuật 2D- Shear Wave Elastography hầu như thay thế hoàn toàn Point-Shear Wave Elastography.
Quy trình thực hiện siêu âm đàn hồi mô gan tại Bệnh viện Hoàn Mỹ Đà Nẵng

Tại Bệnh viện Hoàn Mỹ Đà Nẵng, người bệnh sẽ được đo mức độ xơ hóa gan với máy siêu âm cao cấp, thế hệ mới nhất hiện nay LOGIQ Fortis bằng kỹ thuật siêu âm đàn hồi định lượng với công nghệ sóng biến dạng ngang đa điểm (2D Shear Wave Elastography).
- Người bệnh được khám để loại trừ các bệnh lý có thể ảnh hưởng đến kết quả đo như viêm gan cấp, suy tim, tắc mật…
- Người bệnh nên nhịn đói 2-4 giờ trước khi khảo sát.
- Người bệnh được khảo sát bằng siêu âm thường quy đánh giá nhu mô gan, mạch máu gan, phát hiện các tổn thương gan
- Sau khi khảo sát siêu âm thường quy, bệnh nhân sẽ được siêu âm đàn hồi
- Người bệnh nằm ngửa hoặc nghiêng nhẹ (30 độ) sang bên trái, tay phải đưa lên cao để khoang liên sườn giãn rộng.
- Bác sĩ siêu âm đặt đầu dò trong khoang liên sườn, vuông góc với bao gan. Lựa chọn vị trí cho hình ảnh 2D đạt chuẩn.
- Đặt ROI đo đạc ở độ sâu tối thiểu 2 cm dưới bao gan.
- Người bệnh được hướng dẫn hợp tác nín thở giữa chừng trong lúc đo.
- Đo ít nhất 5 lần, lấy giá trị trung vị (median), đảm bảo IQR/ Med đạt yêu cầu.
- Độ cứng gan được so với bảng tham chiếu để xác định mức độ xơ hóa gan.

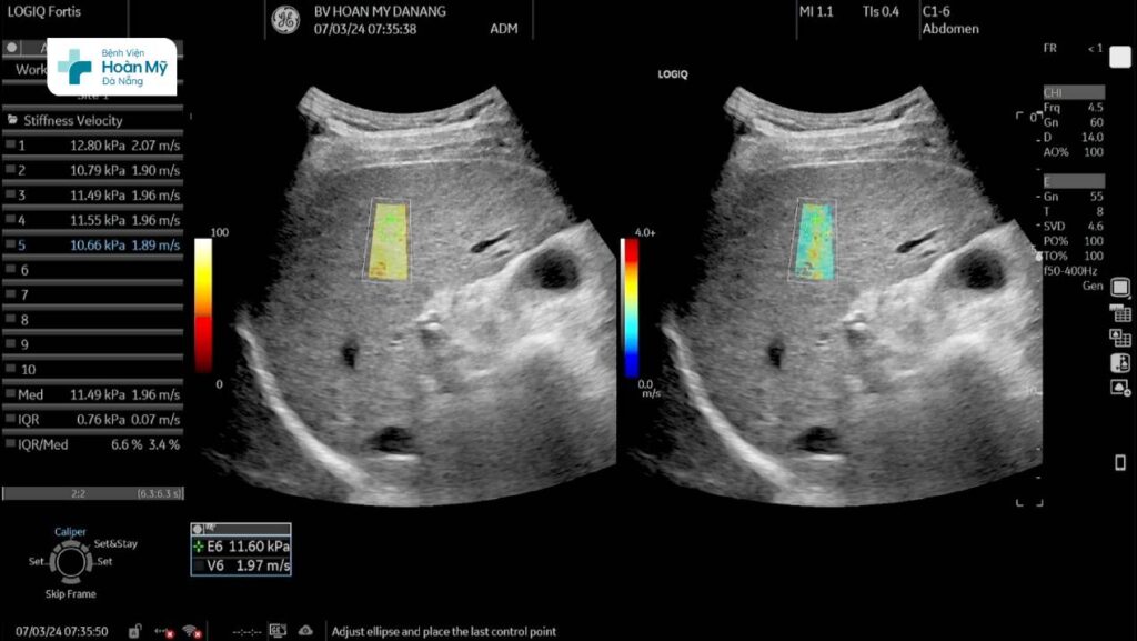
Hình ảnh siêu âm chẩn đoán mức độ xơ hóa gan trên máy siêu âm cao cấp LOGIQ Fortis thế hệ mới tại BV Hoàn Mỹ Đà Nẵng
Một ví dụ khi ứng dụng siêu âm đàn hồi mô trong chẩn đoán xơ gan như sau: Một người bệnh nam, gần đây thấy mệt mỏi nên đến khám tại Bệnh viện Hoàn Mỹ Đà Nẵng, được bác sĩ cho siêu âm bụng, trên siêu âm thường quy thấy cấu trúc gan thô, khi thực hiện siêu âm đàn hồi mô gan đo được độ cứng 11,49 kPa (IQR/Med # 6,6%) tương ứng xơ hóa gan độ 3.
Bệnh viện Hoàn Mỹ Đà Nẵng đã được trang bị máy siêu âm cao cấp LOGIQ Fortis thế hệ mới nhất hiện nay với những ưu điểm nổi bật:
- Đột phá kép với công nghệ đầu dò thế hệ mới XDClear và công nghệ tạo chùm tia kỹ thuật số cSound giúp tăng tốc độ xử lý, tăng độ phân giải, cho chất lượng hình ảnh vượt trội.
- 2D Shear Wave Elastography - Siêu âm đàn hồi định lượng với công nghệ sóng biến dạng ngang đa điểm giúp chẩn đoán chính xác các mức độ xơ hóa gan khác nhau, đánh giá độ cứng của các khối u nhằm hỗ trợ phân tầng nguy cơ tổn thương chính xác hơn.
- Ultrasound-Guided Attenuation Parameter (UGAP) - Chức năng siêu âm định lượng độ nhiễm mỡ của gan, giúp phát hiện bệnh gan nhiễm mỡ giai đoạn sớm, giảm thiểu chi phí điều trị.
- Micro Vascular Imaging (MVI)- Siêu âm vi mạch giúp phát hiện, đánh giá tính chất tưới máu của những tổn thương rất nhỏ.

Người bệnh nếu có các biểu hiện của bệnh lý gan, hoặc đối tượng có yếu tố nguy cơ cao dẫn đến xơ gan hay ung thư gan như: Viêm gan B, C, gan nhiễm mỡ do bia rượu, một số bệnh chuyển hóa ảnh hưởng đến gan vui lòng liên hệ Hotline: 02363 509 808 (giờ hành chính) để được tư vấn và đặt lịch hẹn thăm khám, chẩn đoán, tầm soát bệnh lý gan tại Bệnh viện Hoàn Mỹ Đà Nẵng.
ĐĂNG KÝ KHÁM
Rút ngắn thời gian khám nhằm mang đến sự tiện lợi tối đa cho quý khách. [contact-form-7 id="171388" title="Đăng ký khám" html_id="custom-form" html_class="package__item--form"]Chia sẻ